
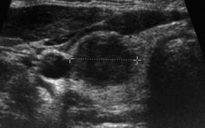
“Hipoekoik” terimi, bir nodülün ultrasonda, yani sonogram olarak da adlandırılan bir görüntüleme yönteminde nasıl göründüğüne işaret eder. Ultrason makineleri, vücudunuza nüfuz eden ses dalgaları üretir; bu dalgalar dokulara, kemiklere, kaslara ve diğer maddelere çarpar.
Bu seslerin geri sekerek bir görüntü oluşturma şekli ekojenite olarak bilinir. Düşük ekojeniteli bir şey görüntüde koyu görünür ve “hipoekoik” olarak adlandırılırken, yüksek ekojeniteli bir şey açık görünür ve “hiperekoik” olarak adlandırılır.
Tiroid üzerindeki bir hipoekoik nodül, bazen hipoekoik lezyon olarak adlandırılır, ultrasonda çevre dokudan daha koyu görünen bir kitledir. Bu genellikle, nodülün sıvı yerine katı bileşenlerle dolu olduğunu gösterir
Unutmayın ki, hipoekoik nodüllerin kanserli olma olasılığı daha yüksek olsa da, ekogenisite kendisi tiroid kanserinin güvenilir bir göstergesi değildir. Bu, sadece doktorunuzun biyopsi gibi ek testler yapması gerektiğinin bir işareti olabilir.
1986 yılında Elbistan’da doğmuştur. 2010 yılında İstanbul Tıp Fakültesinden mezun oldu. 2015 yılında İstanbul Eğitim ve Araştırma Hastanesinden Radyoloji ihtisasını aldı. 2015-2017 yılları arasında Tatvan Devlet Hastanesinde zorunlu hizmetini yapmıştır. 2018 yılından itibaren İzmir Çiğli Eğitim ve Araştırma Hastanesinde Girişimsel Radyolog olarak çalışmaktadır.
Girişimsel radyolojinin hassasiyetini kullanarak, hastalarımı ameliyatsız, etkili ve bireye özel çözümlerle sağlığına kavuşturmak için her gün daha iyisini yapmaya çalışıyorum.
Telefon: 0232 398 3700 İç Hat: 55387
İzmir Çiğli Eğitim ve Araştırma Hastanesi – Girişimsel Radyoloji Kliniği
Uz.Dr. Mehmet Hakan PIÇAK
İzmir Çiğli Eğitim ve Araştırma Hastanesi – Girişimsel Radyoloji Kliniği
0232 398 3700 – İç Hat:55387
info@girisimsel.com.tr
